Очередное образовательно-профориентационное мероприятие с учениками МБОУ СОШ №68 на кафедре организации фармацевтического дела, клинической фармации и фармакогнозии
29 февраля 2025 года в стенах ВГМУ им. Н.Н. Бурденко на кафедре организации фармацевтического дела, клинической фармации и фармакогнозии состоялось очередное образовательно-профориентационное мероприятие со школьниками МБОУ СОШ № 68.
Мероприятие организовано деканатом фармацевтического факультета, и кафедрой организации фармацевтического дела, клинической фармации и фармакогнозии.
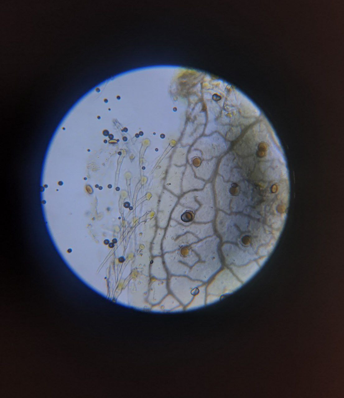
Под руководством доцента кафедры Михайловой Е.В. школьники познакомились с понятием дыхания, катаболизма, строением дыхательной системы, разобрали понятие кашля и его причины, рассмотрели группы отхаркивающих средств, а также с познакомились с лекарственными растениями и сырьем, обладающим отхаркивающим эффектом. Ребята изучили отличительные признаки листьев мать-и-мачехи, подорожника большого, корней солодки голой и самостоятельно приготовили микропрепараты травы душицы. Экспериментальная исследовательская работа была воспринята школьниками с особым интересом: сделан значительный шаг к освоению новых практических навыков, которые пригодятся при получении фармацевтического образования и в последующей профессиональной деятельности.
Благодарим руководство и педагогический состав МБОУ СОШ №68 за плодотворное сотрудничество, а также кафедру биологии за оказанное содействие в проведении мероприятия.
Деканат фармацевтического факультета
Кафедра организации фармацевтического дела,
клинической фармации и фармакогнозии



